2025-01-14 , 12553 , 2422 , 188
津巴多普通心理学 Psychology: Core Concepts-6: 第二章 生物心理学,神经科学与人类天性-15
2.8.2 边缘系统:情绪、记忆及其他
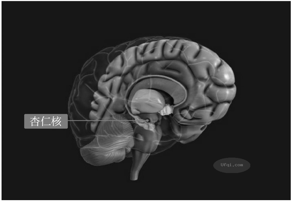
我们很遗憾地告诉你,你的宠物金丝雀或漂亮的金鱼并没有与我们哺乳动物类似的情绪“装置”。你看,只有哺乳动物才有一个发育完全的边缘系统,它是围绕着丘脑的一些结构的集合,它位于大脑半球的深处,脑干的顶部(见图2-13)。

图2-13 边缘系统
注:边缘系统参与动机、情绪和某些记忆的加工。
这些羊角状的结构大大增强了我们的情绪和记忆能力,使我们拥有了心理灵活性这一巨大优势。因为有边缘系统,我们不需要像低级动物一样,行为完全依赖本能和反射。
边缘系统也包含了其他一些模块,例如,调节饥饿、口渴和体温等过程。总体来说,边缘系统是人脑控制情绪、动机、记忆和保持身体平衡的“指挥所”。下面让我们仔细了解它的每一个模块及其相应的功能。
海马和记忆
海马(hippocampus)是我们的记忆系统,它在500年前因为形状像海洋动物海马而得名。脑的每一侧都有一个海马,一共有两个海马(见图2-12)。
海马的一个任务是帮助我们记住物体的位置,例如,你把车子停在了一个大停车场的哪个位置(Squire,2007)。海马似乎会随经验的增加而长大。
一项针对伦敦出租车司机的研究发现,出租车司机的海马比不开出租车的普通人更大,而且司机的经验越多,他的海马就越大(Maguire et al.,2003)。
除了空间记忆外,海马对记忆存储也起到关键作用。
例如,亨利·莫莱森(HenryMolaison)的悲惨故事证明了这一点。亨利·莫莱森更广为人知的名字是H.M.(为了保护他的隐私,在他生前,别人都用首字母来称呼他)。
1953年,当时H.M.二十刚出头,为了治疗已经威胁到他生命的频繁发作的癫痫,他接受了一项激进的、实验性的脑手术(Hilts,1995)。这项手术切除了他的脑两侧的大部分海马,成功减少了癫痫发作的次数。
不幸的是,这项手术也产生了一个不可预测的、灾难性的副作用:手术之后,新的经历在事情发生之后就会立即从他的记忆中消失,但他对手术之前的事情的记忆完好无损。
在他的余生中,当他试图回忆1953年之后的事情时,得到的是一片空白。他甚至不能记住每天照顾他的人。
直到2008年去世之前,他还相信自己活在1953年。这个故事以及其他确凿证据表明,虽然海马不是记忆存储的地方,但是它对于创造新的记忆至关重要。

海马(左右半球各有一个)对于创建新的记忆至关重要,在空间记忆方面也起关键作用。


杏仁核和情绪
另一个边缘系统的组成部分是杏仁核(amygdala),它的名字也来自于它的形状,在希腊语中的意思是“杏仁”。和其他脑结构一样,杏仁核也有两个,位于双侧海马的前面(见图2-12)。
为了了解杏仁核的功能,海因里希·克鲁弗(HeinrichKlüver)和保罗·布西(PaulBucy)(1939)设计了一项经典的实验,采用外科手术切断了脾气暴躁的恒河猴的双侧杏仁核之间的连接。术后,这些动物变得非常温顺,连克鲁弗和布西都感到非常吃惊。他们的发现首次清晰地证明了杏仁核在恐惧和攻击性中的作用。当我们感到威胁时,这个脑结构会变得特别活跃,它在我们应对恐惧时起着关键作用。

杏仁核(和大多数脑结构一样,我们实际上有两个杏仁核,每个半球一个)在恐惧和其他与生存相关的情绪中起关键作用。它位于海马前面。它的两个部分互相调节,使用记忆来校准情绪反应。
近期的研究拓展了我们对杏仁核的认识。例如,杏仁核会和海马协同工作,这样对先前经验的记忆就会帮助我们矫正当前的情绪反应(Roozendaal et al.,2009)。例如,一个曾在车祸中受伤的人可能会对其他司机做出的一个小小的威胁(例如,尾随)表现得反应过度。这可以解释创伤后应激障碍(PTSD)的一些负向触发反应。当男性和女性观看性唤起图片时,杏仁核也会活跃起来(男性的活跃程度更高)(Hamann,2005),这表明杏仁核不仅参与了消极情绪反应,也参与了积极情绪加工。杏仁核还被认为是在孤独症谱系障碍(autism spectrum disorders)中起作用的几个脑结构之一,例如,孤独症个体的杏仁核通常较大(Baron-Cohen et al.,2000)。
下丘脑和动机控制
我们曾在前面谈到过下丘脑(hypothalamus)(hypo在希腊语中是下面的意思,所以这个名字告诉我们它的位置在丘脑的下面)。它是边缘系统中保持身体处于稳定、平衡状态的结构。这一功能部分是通过启动内分泌系统信息实现的。你可能记得在健康或生物课上学过这一过程,它叫作内稳态(homeostasis)。
下丘脑富含血液和神经元,因此它的功能之一是充当脑血液分析实验室。通过对血液的持续监测,它可以探测体温、血流水平和营养物质的微小变化。当它发现某种不平衡(例如,水太多或者水太少)时,下丘脑会立刻发出命令来设法恢复平衡。
下丘脑还是脑的快乐中枢或奖赏回路,它会产生由饮食、性或其他药物引起的积极情绪(Olds & Fobes,1981;Pinel,2005)。另一些活动也能刺激边缘系统的快乐回路,包括幽默、坐过山车之类的刺激活动,甚至品尝味道浓郁的巧克力(Small et al.,2001;Watson et al.,2007)。
多巴胺是在这些快乐回路中起关键作用的几种神经递质之一。
每一次我们投入一项愉快的活动中去时,多巴胺就会被释放出来,使我们感觉良好,这样我们就会渴望再尝试一次(无论对象是食物、性、药物或其他任何东西),以获得同样的“快感”。这些进化而来的奖赏中枢激励我们做出有利于生存的行为。然而,滥用药物也会以相同的方式刺激我们的奖赏中枢,并且它们会更加有效。


UfqiLong
因此,滥用药物可能会劫持具有成瘾倾向的个体的奖赏回路,刺激他们去寻求更多的药物,同时忽略竞争性的生物需求(Volkow et al.,2010)。
下丘脑也会以其他方式产生影响。虽然它的很多工作都是在无意识状态下进行的,下丘脑也将神经信息发送到“更高级”的加工脑区,使我们意识到它的需求(例如,感到饥饿)。
它也会通过对垂体的影响来控制我们的内部器官,垂体位于脑底部下丘脑的下方。因此,下丘脑充当着神经系统和内分泌系统的纽带来调节情绪唤起和应激。
2.8.3 大脑皮层:人脑的思考帽
当你观察整个人脑的时候,你看到的大部分是凸起的大脑半球——它比你握紧贴在一起的两个拳头大一点。你可能会注意到它们被一条称为“胼胝体”(corpus callosum)的纤维束连接在一起,两个半球通过胼胝体进行沟通。近乎对称的两个半球包括厚厚的一层(被称为大脑,这部分的质量约为人脑的三分之二),以及大部分边缘系统。
大脑最外面薄薄的一层是大脑皮层(cerebral cortex),它是人脑的思考帽:它独特的褶皱表面使得超过100亿的神经元可以聚集在几毫米的厚度中。如果把褶皱摊平,皮层表面大约有一张打开的报纸那么大。但是由于其表面卷曲盘绕,我们只能看到大约三分之一的皮层。
一个健康的人脑分成两半,这样就露出了脑表面的回(凸起)和沟(凹陷)。这些沟回形成的褶皱可以使数十亿的脑细胞挤进很小的一个区域。
大脑皮层有什么功能呢?它就是内在的你!它是我们最强大的心理力量所在的地方,它加工我们所有的感觉,存储记忆,并且做出决策。它还有很多其他功能,我们在后续小节中讨论大脑各个脑区时会介绍这些功能。
虽然我们人类为我们的“大”脑感到自豪,但是实际上,我们的脑并不是这个星球上最大的脑。所有大型动物的脑都很大——事实上相比于智力,脑的大小与体型的关系更密切。有褶皱的皮层也不是人类特有的。所有大型动物的皮层都是卷曲盘绕的。也许这伤害了你的自尊,但请放轻松一点,相对于我们的体重来说,我们的大脑皮层要比其他拥有脑的生物大得多。
虽然没有人知道为什么人类的脑会如此大,以及它是怎么变得这么大的(Buss,2008;Pennisi,2006),但相比于其他动物,人类的独特性在于我们的脑的运作方式而不是大小。值得一提的是,女性的脑比男性拥有更多的褶皱,而男性的脑平均而言比女性更大(Luders et al.,2004)。
(未完待续, To be contd)
🔗 连载目录
🤖 智能推荐


















