-
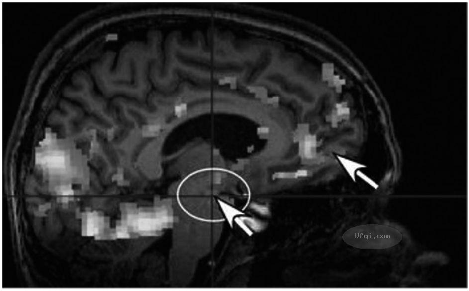
2025-11-11...[Src: 腾讯微信/逻辑小分队, 2025-11-11. 为什么孩子总是“会做却做错”?认知科学告诉你粗心背后的真正原因. ] 认知科学解释粗心大意背后的原因 本文你将看到:一、粗心,不是“不用心” 二、看见“粗心”的大脑地图三、粗心为什么在某些时刻更容易发生四、如何重建不再短路的系... 175
-
2025-10-11... 津巴多普通心理学 Psychology: Core Concepts 5: 第十章 人格-9: 大五人格特质 大五人格特质:地域、死亡率和Facebook风格 大多数人格发展理论都集中在个体水平或人际层面,但美国各州之间人们的人格会有所不同吗?在一项有趣的研究中,超过50万的网民完成了大五人... 143 🈶🖼️
-
2025-04-12...美元美债和美股的逻辑关系-2 二、美债危机和美股的关系 虽然美元需求和美债构成了稳定的关系,美债是美国政府欠的,美元是美联储印的,而美联储又是通过购买美国国债来发行美元。所以,只要美元还有发行需求,美联储的美债就不用还。但是美债本质也是债务,它是美国联邦政府欠美国国债持有人的债务。在经济学中,货币市场的无限量供给带来... 246
-
2025-04-01...津巴多普通心理学 Psychology: Core Concepts 4: 第九章: 动机与情绪-20 我们的动机优先级是如何确定的 核心概念9.2一些长期问题因一个结合了马斯洛需要层次理论与进化心理学的新理论的出现而得以解决,该理论认为功能、近因和发展因素决定了我们动机的优先级。 没有一个心理学理论可以成功地解释所... 172
-
2025-04-01...津巴多普通心理学 Psychology: Core Concepts 4: 第九章: 动机与情绪-18: 情商 EI-3 批判性思维的应用:测谎仪真的能测出谎言吗 测谎仪或“谎言探测”的测试基于这样的假设:当人们说谎时,会发出身体唤醒的信号。因此,大多数测谎仪会记录被测试者的心率、呼吸频率、排汗和血压。偶尔也会使用声纹... 163
-
2025-04-01...津巴多普通心理学 Psychology: Core Concepts 4: 第九章: 动机与情绪-17 9.12 情绪理论:解决一些早期争论 学习目标:评估主要的情绪理论。 让我们回到饥饿的熊的例子:假设有一天早上,你去上课的路上不幸遇到了这只饥饿的熊。我们打赌你会体验到恐惧的情绪。但是,是什么样内在过程让你真正产生... 167
-
-
2025-04-01...津巴多普通心理学 Psychology: Core Concepts 4: 第九章: 动机与情绪-15 9.10.4 大脑皮层与边缘系统的连接 现在的神经科学家认为,他们已知道了情绪和理性在大脑中的相遇之处,即有意识的情绪处理途径与边缘系统的连接。这是一小块有着响亮名字的脑区:腹内侧前额皮层(Ventromedial... 171 🈶🖼️
-
2025-04-01...津巴多普通心理学 Psychology: Core Concepts 4: 第九章: 动机与情绪-14 关键问题:什么过程控制了我们的情绪 核心概念9.5大脑中有两种情绪处理系统:一种是有意识的,另一种是无意识的。这个发现为一些关于情绪与认知的早期争论提供了新的思路。 假设你在万圣节玩鬼屋探险,这时一个电影人物用幽灵... 168 🈶🖼️
-
2025-04-01...津巴多普通心理学 Psychology: Core Concepts 4: 第九章: 动机与情绪-11 关键问题:情绪是如何激励我们的 核心概念9.4情绪是一种特殊的动机,能帮助我们关注和应对重要(通常是外部)的情况,并与他人交流我们的意图。 大多数人都会认为情绪是理性的对立面,但这是一种误解。 以埃利奥特为例,他曾... 183
-
2025-03-26...津巴多普通心理学 Psychology: Core Concepts 4: 第九章: 动机与情绪-10: 性欲 性冲动-2 9.7.2 性别相似性与性生理学 虽然金赛第一次拨动了全美国对性激烈讨论的神经,但真正打破传统和禁忌将性带入实验室的是威廉·马斯特斯和弗吉尼亚·约翰逊(William Masters & ... 178 🈶🖼️
-
2025-03-11...津巴多普通心理学 Psychology: Core Concepts -3: 第八章 意识状态-13: 精神药物-3 8.9.3 阿片类药物 另一类药物被称为阿片类药物,包括吗啡、海洛因和可待因,它们都是由罂粟制成的。这些都是高度成瘾的药物,会抑制生理感觉和对刺激的反应。因此,其中一些在医学上得到了广泛的应用,它们具... 184
-
2025-03-11...津巴多普通心理学 Psychology: Core Concepts -3: 第八章 意识状态-10 关键问题:还有什么其他形式的意识 核心概念8.3当通过心理、行为或化学方法改变正常意识的某些方面时,意识状态就会改变。 孩子们通过倒立或转圈来寻找头晕目眩的感觉。你可能会从惊险的主题公园游乐设施或跳伞中找到类似的感觉... 169 🈶🖼️
-
-
2025-03-04...津巴多普通心理学 Psychology: Core Concepts -3: 第八章 意识状态-8: 睡眠-4 应对时差反应和其他昼夜节律变化的技巧 每年都有越来越多的人乘坐飞机进行长途旅行(无论是为了工作还是为了娱乐)。不仅狭窄的飞机座位会让所有旅客都不舒服,而且飞越多个时区(特别是从西到东)的旅客还要承受时差反应的... 166
-
2025-02-27...津巴多普通心理学 Psychology: Core Concepts -3: 第八章 意识状态-3 8.1 研究意识的工具 学习目标:描述用于研究意识的技术。 高科技工具,如fMRI、PET和EEG[1],打开了通往大脑的新窗口,使研究人员能够看到在各种不同心理任务中哪些脑区处于活跃状态。换句话说,我们可以辨认出意识中... 172 🈶🖼️
-
2025-02-14...津巴多普通心理学 Psychology: Core Concepts-11: 第七章 毕生发展-7 7.3.4 接触安慰 婴儿要想通过先天和后天因素发展出更强的感觉和运动能力,他们就需要依赖照料者提供的必要刺激。我们尚未提及的一种典型的重要刺激是抚触。在19世纪上半叶——你可能很难相信——许多专家认为,婴儿寻求与照料... 188 🈶🖼️
-
2025-02-13... 津巴多普通心理学 Psychology: Core Concepts-11: 第七章 毕生发展-4 7.2 新生儿期:新生儿的能力 学习目标:解释出生时具有的反射反应和能力是如何有效地帮助新生儿生存和成长的。 在新生儿降临这个世界的时候,他们的很多神经和感觉系统已发育完成。新生儿期(neonatal period... 173 🈶🖼️
-
2025-02-07...津巴多普通心理学 Psychology: Core Concepts-10: 第六章 思维与智力-4 6.1.3 文化、概念与思维 同一概念在不同文化中蕴含的意义大不相同。一方面,在处理冲突观点和矛盾的方式上,西方人与许多东方人不同(Peng & Nisbett,1999)。另一方面,还有一个很大的文化差异涉及... 149 🈶🖼️
-
2025-01-26...津巴多普通心理学 Psychology: Core Concepts-8: 第四章 学习与人类后天发展-22 本章小结:学习与人类后天发展 本章思考题假定萨布拉害怕飞行是习得的反应,那么她可以通过学习来解决这个问题吗?如果能,怎样治疗? 经典条件反射在萨布拉克服对飞行的恐惧时发挥了作用。通过与飞行体验建立正联结,萨布... 171
-
-
2025-01-26...津巴多普通心理学 Psychology: Core Concepts-8: 第四章 学习与人类后天发展-16 关键问题:认知心理学如何解释学习 核心概念4.3在认知心理学看来,某些形式的学习只能解释为心理过程的改变,而不仅仅是行为本身的改变。 生物学家J. D.沃森(Watson,1968)在《双螺旋》(The Do... 186 🈶🖼️
-
2025-01-26...津巴多普通心理学 Psychology: Core Concepts-8: 第四章 学习与人类后天发展-15 4.7 操作性条件反射和经典条件反射的比较 学习目标:区分操作性条件反射和经典条件反射的过程。 我们已经研究了操作性条件反射和经典条件反射的主要特征,现在让我们来并列比较它们。一般而言,行为的后果——尤其是奖... 199 🈶🖼️
-
2025-01-25...津巴多普通心理学 Psychology: Core Concepts-8: 第四章 学习与人类后天发展-10: 强化学习 Reinforcement-2 4.4.4 强化程序 既然我们已经让你相信了间歇强化的威力,你应该知道它有两种主要形式,即两种强化程序(schedules of reinforcement)。 1... 197 🈶🖼️
-
2025-01-25...津巴多普通心理学 Psychology: Core Concepts-8: 第四章 学习与人类后天发展-10 4.4 强化的威力 学习目标:审视强化塑造我们行为的方式。 斯金纳热切地想将行为主义确立为一门合法科学,这种热情渗透在他的工作之中。例如,虽然我们经常在日常对话中提到“奖赏”这个词,但斯金纳偏好使用更客观的术语... 220 🈶🖼️
-
-
本页Url:
-
2025-12-06-18:52 GMT . 添加到桌面浏览更方便.
-